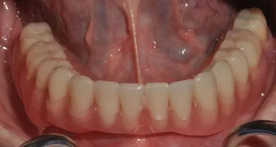
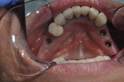
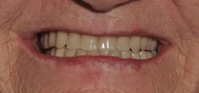
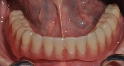
#10 Implant





Dental Implant Before & After


Dental Implant Patient C.




Dental Implant Patient M.



Dental Implant Patient W.


Dental Implant Patient S.


Dental Implant Patient E.



Dental Implant Patient D.


To schedule an appointment please Contact Us or call: 931-924-2219
