Skip to content

Contact Bar

Call: 931-924-2219 | Directions » | Schedule Appointment
See us on Facebook See us on Instagram
Montee Tailored Smiles Logo

Montee Tailored Smiles – Dentistry Monteagle, TN

Family dentist with genuine care and comfort as our first priority.

  • About Us
    • Meet Our Doctor
    • Our Office
  • Patient Resources
    • New Patients
    • Payment Options
    • No Insurance
    • FAQs
    • Insurances
    • Privacy Policy
    • Patient Feedback
  • Services
    • General Dentistry
    • Root Canals
    • Pediatric Dentistry
    • Crown & Bridges
    • Dentures
    • Digital X-Rays
    • Oral Surgery
    • Fillings
    • Implant Restorations
    • Laser Treatments
    • Oral Cancer Screening
    • Porcelain Veneers
  • Dental Implants
  • Case Photos
    • Dental Implants
    • Denture & Hybrid
    • Esthetic
    • Fractured Tooth with Implant
    • Full Mouth Reconstruction
    • Hockey Accident
    • Lateral Incisor
    • Missing Canines
    • Molar
    • New Smiles
  • Contact Us
    • Schedule Appointment

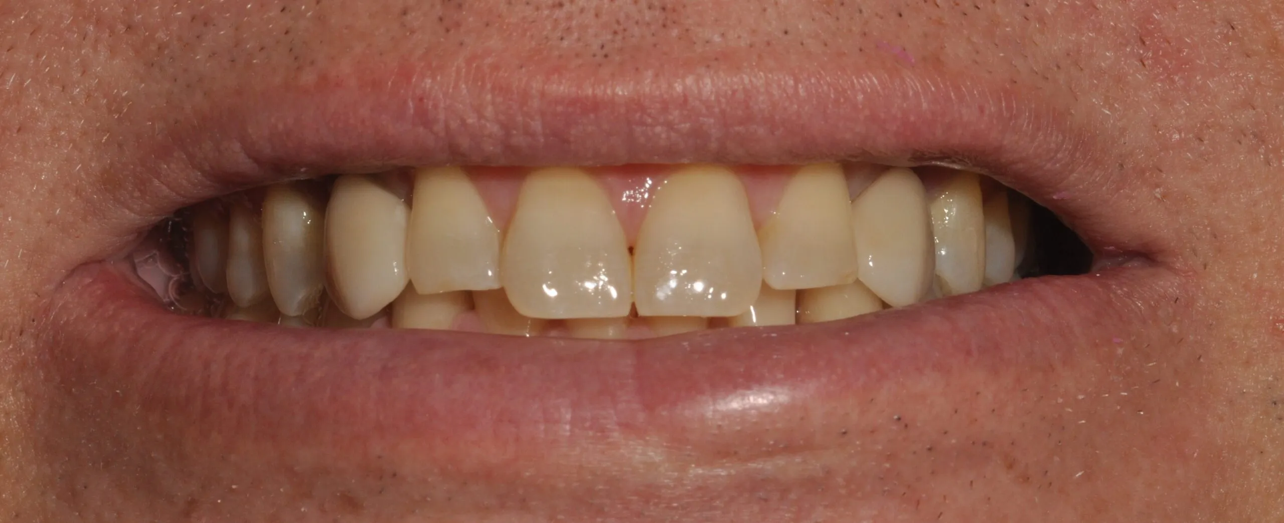
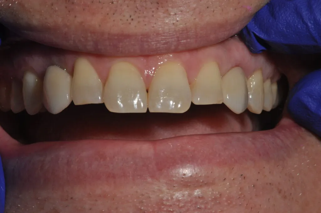
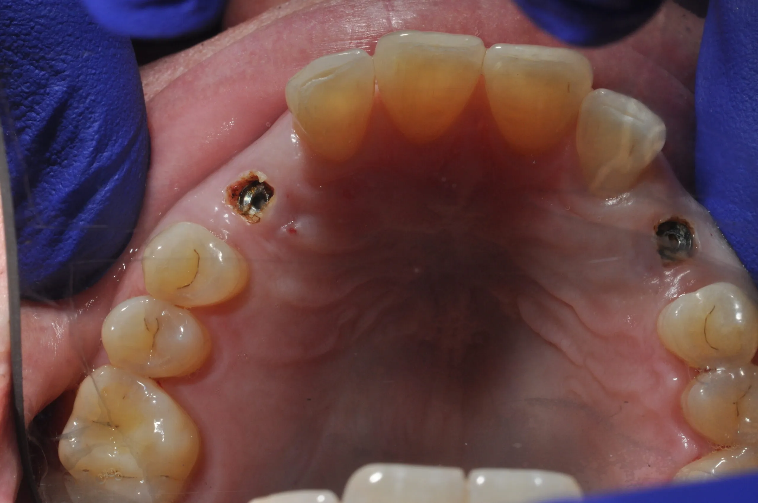
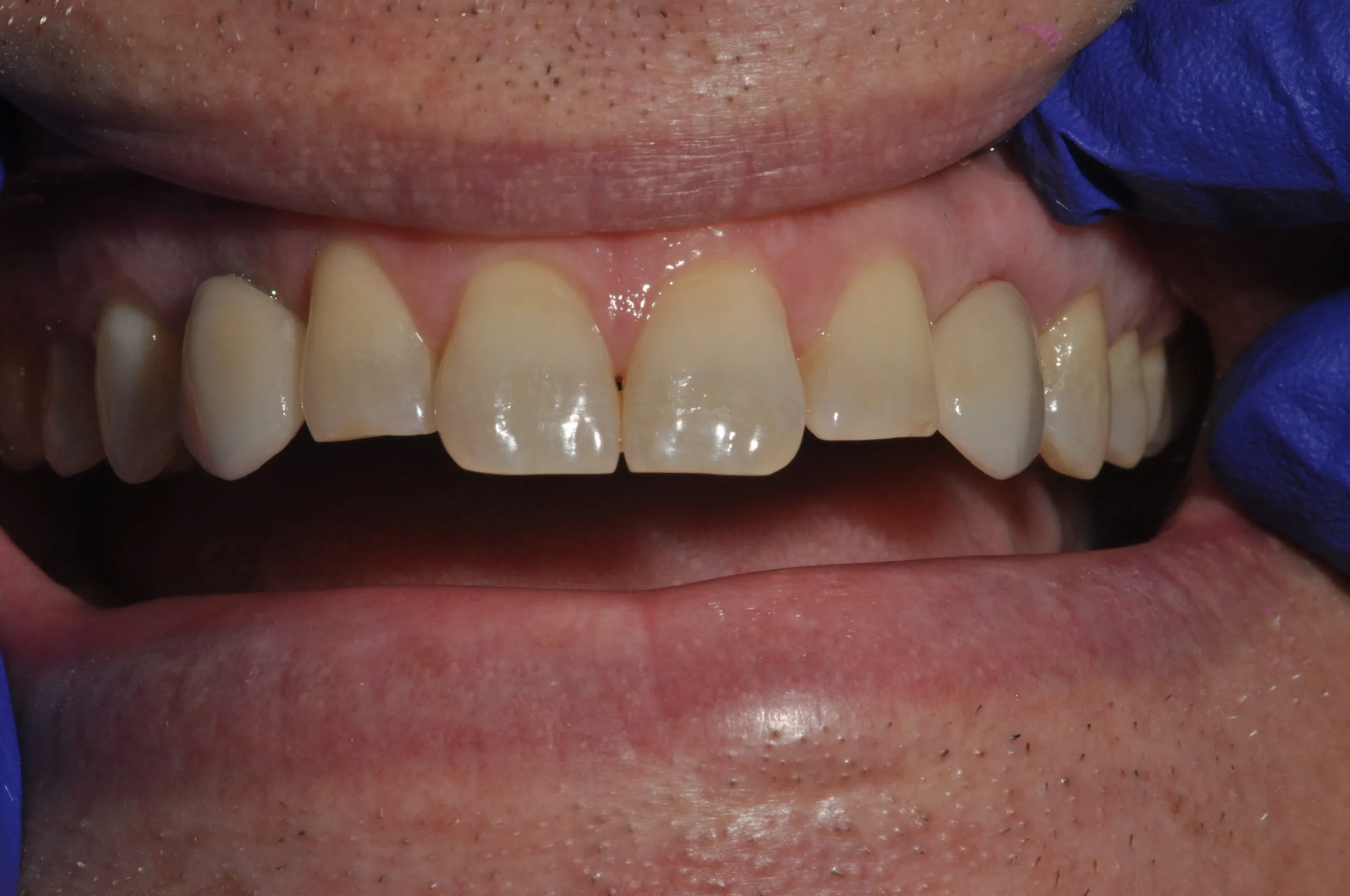
Missing Canines

Missing Canines

← Back to Case Studies


To schedule an appointment please Contact Us or call: 931-924-2219

Montee Tailored Smiles Logo
16 S Central Ave. Monteagle, TN 37356
PatientServices@MonteeSmiles.com
931-924-2219
See us on Facebook See us on Instagram

We constantly strive to put the genuine care and comfort of our patients as our first priority.

Hours:

Tuesday - Thursday: 9am - 5pm

Friday, Weekends, and Monday: Closed

Emergencies Welcome!

AAID Member Logo

Quick Links

  • About Us
  • Patient Resources
  • Services
  • Dental Implants
  • Case Photos
  • Contact Us
©2026 Montee Tailored Smiles - Dentistry Monteagle, TN | Website by Thrive Creative Group, LLC